导读:牙齿脱落引热议|牙周炎为何如此普遍?|如何预防与治疗牙周病?
视频曝光,“韦神”牙齿脱落引发网友关注
6月7日,北京大学数学系教师、被网友亲切称为“韦神”的韦东奕发布了第一条视频,向大家打招呼。细心的网友发现,视频中“韦神”的部分牙齿出现了明显的脱落现象,这一细节迅速引发了广泛讨论。

据多家媒体报道,包括《新晚报》、《光明网》、《中国新闻网》等,韦东奕家属回应称其牙齿问题由多种原因造成,其中最主要的是患有牙周炎,并曾多次接受治疗,目前仍需定期前往医院检查。
值得注意的是,在2023年和2024年的公开视频中,韦东奕并未出现牙齿明显脱落的情况,因此此次视频中的变化更加引起公众的关注。
牙周炎到底是什么?为什么这么多人中招?
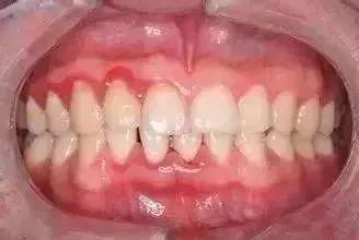
牙周炎是一种常见的口腔疾病,主要表现为牙龈红肿、出血、牙齿松动甚至脱落。它是由牙菌斑长期堆积引起的慢性炎症反应,是成年人牙齿脱落的主要原因之一。

根据《福建卫生报》报道,我国约有超过80%的成年人存在不同程度的牙周问题,但大多数人并不重视,直到出现明显症状才去就医,往往已经发展到较为严重的阶段。
“很多人年轻时不注意口腔健康,等到年纪大了才后悔莫及。”一位三甲医院口腔科医生在接受采访时表示。
牙周炎可防可控,关键在于日常护理
虽然牙周炎听起来很可怕,但它是可以预防和控制的。以下是专家推荐的几个日常护理建议:
- 每天刷牙两次,使用牙线清洁牙缝:牙菌斑是牙周炎的元凶,刷牙+牙线能有效清除。
- 每半年做一次口腔检查:早期发现问题,及时干预。
- 避免吸烟或咀嚼槟榔:这些习惯会加速牙周组织的破坏。
- 饮食均衡,增强免疫力:营养不良也会降低口腔抵抗力。
“很多患者在出现牙龈出血时以为只是‘上火’,其实是牙周炎的早期信号。”——某三甲医院口腔科主任
此外,对于已经患有牙周炎的人群,应尽早接受专业治疗,如洁治(洗牙)、刮治、根面平整等,必要时还需配合药物治疗。
结语:别让牙齿问题成为你的“隐形负担”
“韦神”的牙齿问题之所以引发广泛关注,不仅是因为他是公众人物,更因为这个问题几乎每个人都可能遇到。牙周炎不是老年人的专属病,年轻人也不能掉以轻心。
希望通过这次事件,更多人能够意识到口腔健康的重要性,养成良好的护牙习惯,远离牙周炎的困扰。
发表评论 取消回复