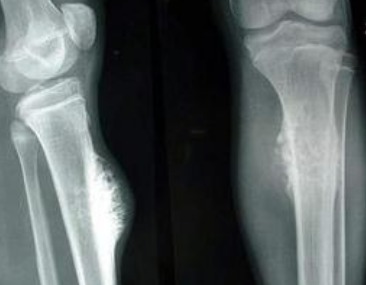
拜登健康疑云再升级!癌细胞扩散至骨骼传言背后,骨癌到底有多可怕? 近日,微博热搜‘拜登癌细胞扩散至骨骼’引发广泛关注。本文结合多方媒体报道与医学知识,深入解析骨癌的危害与早期信号,并回顾拜登近期健康动态,探讨公众人物健康信息透明的重要性。 微博热点 2025年05月19日 08:27 0 点赞 0 评论 57 浏览
抗癌网红雯仔:985大学梦碎,22岁遗憾离世 抗癌网红雯仔,17岁确诊骨癌晚期,经过努力考上985高校,但在22岁时还是不幸离世。她在生命最后时刻留下了感人肺腑的告别信,她的坚强和乐观感动了无数人。 百度热点 2025年07月27日 23:10 0 点赞 0 评论 41 浏览
34岁女子骨癌化疗17次后又确诊白血病:她的坚强与希望 34岁的我,在骨癌化疗17次后,又被确诊为急性白血病。面对命运的考验,我选择了坚强与希望。家人的支持和社会的帮助,让我看到了光明的未来。 微博热点 2024年11月24日 23:08 0 点赞 0 评论 98 浏览
一次性讲清楚众病之王癌症:从个人视角看癌症的真相与应对 本文从个人视角出发,详细介绍了癌症的现状、发病原因、常见症状、预防措施以及癌症患者的生存与希望,帮助读者全面了解癌症,消除恐惧,增强应对能力。 抖音热点 2024年11月29日 13:41 0 点赞 0 评论 119 浏览