方大同气胸事件引关注:这种病对身体影响有多大?如何有效预防? 方大同因气胸多次住院的消息引发了公众对这种疾病的广泛关注。本文从个人视角出发,深入探讨了气胸对身体的影响及其预防手段,旨在提高大众对气胸的认知水平。 知乎热点 2025年03月01日 16:55 0 点赞 0 评论 61 浏览
方大同因气胸离世,他生前的健康隐患值得我们每个人警惕 歌手方大同因气胸离世,文章从个人视角出发,深入探讨气胸的病因、症状及危害,并呼吁大众关注身体健康,提高疾病防范意识。 腾讯热点 2025年03月01日 18:10 0 点赞 0 评论 56 浏览
小伙卧推脱手杠铃砸胸,竟引发气胸!健身需谨慎 小伙卧推脱手杠铃砸胸引发气胸事件引发关注。本文详细解析了气胸的成因、健身中易发气胸的原因以及如何有效预防,提醒广大健身爱好者注意安全。 头条热点 2025年02月21日 23:11 0 点赞 0 评论 77 浏览
气胸到底是什么病?听他亲身经历后的深刻解读 气胸到底是什么病?本文通过一位亲历者的视角,详细讲述了气胸的发病原因、治疗方法以及预防措施,帮助读者更好地了解这一疾病。 头条热点 2025年03月01日 18:50 0 点赞 0 评论 79 浏览
气胸来袭,我与死神擦肩而过的那一天 本文通过个人视角讲述了作者因气胸入院的经历,详细介绍了气胸的症状、分类、治疗方法以及预防措施,旨在提高公众对气胸的认识并倡导健康的生活方式。 微博热点 2025年03月01日 14:21 0 点赞 0 评论 71 浏览
多位明星曾患气胸,他却用亲身经历告诉你健康的重要性 多位明星曾患气胸的事件引发热议,本文从个人视角出发,结合真实经历探讨气胸的危害及预防方法,呼吁大家关注健康。 微博热点 2025年03月01日 22:55 0 点赞 0 评论 63 浏览
方大同的健康之路:气胸背后的音乐人生 方大同因气胸多次住院的经历引发了广泛关注。本文以第三人的视角,详细讲述了他如何克服病痛,重新站上舞台的故事。通过他的经历,我们看到了音乐与健康的完美结合,以及他对生命的深刻感悟。 百度热点 2025年03月01日 14:31 0 点赞 0 评论 50 浏览
警惕气胸!三类人要注意,别让健康“漏气” 气胸是一种常见的呼吸系统疾病,尤其对三类人群威胁较大。本文通过个人视角分享气胸的相关知识,帮助读者了解其危害及预防方法。 微博热点 2025年03月02日 02:30 0 点赞 0 评论 54 浏览
气胸是什么?从我的亲身经历告诉你这个“隐形杀手”有多可怕 本文以第一人称视角分享了作者亲身经历气胸的故事,详细介绍了气胸的定义、症状、治疗方法及预防措施,旨在提高公众对这一疾病的认知。 百度热点 2025年03月01日 15:10 0 点赞 0 评论 69 浏览
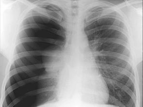
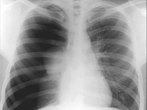
白宇自曝有气胸已做6次手术:明星与‘爆肺’的隐秘抗争 演员白宇自曝曾因气胸接受6次手术,引发网友热议。本文详细解读气胸的成因、高发人群、明星案例以及治疗与预防措施,带你全面了解这一‘隐形杀手’。 抖音热点 2025年05月18日 17:10 0 点赞 0 评论 41 浏览