患者花7万买的抗癌药是临床试验药?微博热搜背后的真实故事 近日,微博热搜“患者花7万买的抗癌药是临床试验药”引发广泛关注。文章以真实案例为基础,揭示了临床试验药物流入市场的隐患,探讨了患者面临的困境以及医药行业监管的重要性。 微博热点 2025年06月02日 15:56 0 点赞 0 评论 68 浏览
医械圈那些事:五省医保数据组显效,促基金监管提效能 本文从个人视角出发,探讨了五省医保数据工作组的成立及其对医保基金监管效能的提升。文章详细介绍了工作组的运作机制、数据公开的意义以及对患者和医疗机构的影响,并展望了未来的发展方向。 简书热点 2024年12月07日 03:17 0 点赞 0 评论 145 浏览
丰城卫健委力挺‘飞刀’医生,背后真相引热议! 近日,“问政江西”网站上一则关于“丰城市人民医院耳鼻喉科医生乱收费”的回复引发网友关注。丰城市卫健委对此作出回应,支持医生“飞刀”行为。文章详细讲述了事件起因、丰城卫健委的回应以及网友的不同观点。 腾讯热点 2025年08月19日 20:46 0 点赞 0 评论 59 浏览
我没病却被强制治疗22天:男子的抗争与社会反思 一名男子声称自己并未患病却被强制送入精神病院治疗22天,这一事件引发广泛关注。从唐父的家庭困境到北京男子陈某霸占病床,再到余虎因同性恋身份被强制医疗,每个故事背后都折射出社会对精神健康的误解与偏见。通过真实案例剖析,探讨如何更好地保护患者权益。 腾讯热点 2025年04月03日 14:25 0 点赞 0 评论 128 浏览
国家卫健委紧急叫停两项手术,背后原因引人深思 国家卫健委紧急叫停两项手术,涉及到2型糖尿病和阿尔茨海默病的治疗。这一举措引发了多方关注和讨论,背后的原因值得我们深入探究。 头条热点 2025年07月12日 21:55 0 点赞 0 评论 65 浏览
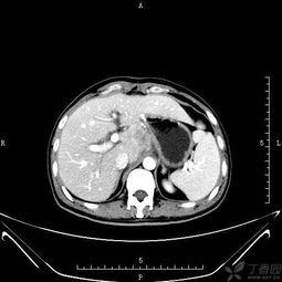
医院腹部CT检查分段收费:是进步还是负担? 近期,医院将腹部CT检查分成上中下腹三次收费的消息引发了广泛关注。本文从个人视角出发,探讨这一政策的初衷、实际操作中的问题以及患者和专家的观点。 头条热点 2024年11月23日 18:37 0 点赞 0 评论 112 浏览
患者住院不用先交押金了:亲历医疗改革的温暖 文章讲述了作者亲身经历的一次住院治疗过程,详细介绍了“患者住院不用先交押金”的新政策给患者及其家属带来的便利和温暖。 头条热点 2025年01月04日 03:35 0 点赞 0 评论 208 浏览
未患癌却遭化疗,我九级伤残的血泪控诉:湘雅二院医疗黑幕曝光! 长沙浏阳张先生因未患癌症却被湘雅二医院误诊并实施不必要手术与化疗,最终导致九级伤残。法院判决湘雅二医院赔偿59万元,揭露刘翔峰医生医疗黑幕。 微博热点 2025年06月13日 19:45 0 点赞 0 评论 69 浏览
四川省人民医院弄错CT影像致歉,严肃处理背后真相 四川成都市民翟先生的母亲翟女士在四川省人民医院做CT时,因其他患者误入检查室,导致CT影像弄错,翟女士被误诊并服药三个月。对此,四川省人民医院已致歉并将严肃处理。 腾讯热点 2025年08月20日 08:40 0 点赞 0 评论 56 浏览
院方回应女子做彩超时男工程师闯入:真相与反思 近日,一名女子在广东东莞市中医院进行心脏彩超检查时,遭遇男工程师突然闯入,引发广泛关注。本文从个人视角出发,详细讲述了事件经过、院方回应以及个人反思,呼吁社会各界关注医疗环境中患者的隐私保护。 微博热点 2024年12月07日 11:55 0 点赞 0 评论 106 浏览