彻底告别蟑螂困扰!这些根治方法你一定要知道 他发现蟑螂问题已经严重影响了生活质量,于是开始研究各种根治方法。从滞留喷洒到毒饵投放,再到化学杀虫剂和硼酸灭蟑法,每一种方法都让他逐渐掌握了对抗蟑螂的技巧。最终,他成功解决了蟑螂问题,并分享了自己的经验。 简书热点 2025年04月08日 19:35 0 点赞 0 评论 60 浏览
隔夜水竟藏蚊子卵,这事儿太吓人啦! 云南大理一女子喝隔夜水时发现里面有蚊子卵,经专家解释得知蚊子会选隔夜水产卵。此事提醒人们要注意饮水安全,没喝完的水要盖盖子或不喝隔夜水。 微博热点 2025年07月12日 11:55 0 点赞 0 评论 55 浏览
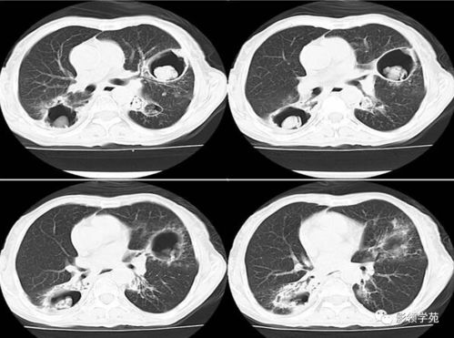
惊!大爷节前大扫除后竟感染肺曲霉病,这些细节你一定要知道 大爷在春节前夕进行大扫除后不幸感染肺曲霉病,本文详细介绍了肺曲霉病的成因及预防措施,并提醒大家注意日常生活中的卫生死角。 头条热点 2025年01月16日 21:47 0 点赞 0 评论 105 浏览
草鞋虫的克星:揭秘一种简单又有效的消灭方法 草鞋虫用什么办法能杀死?本文从个人视角出发,详细介绍了草鞋虫的危害及其防治方法,包括保持环境干燥、使用天然驱虫剂等实用技巧,帮助你轻松应对草鞋虫问题。 简书热点 2025年03月09日 23:17 0 点赞 0 评论 123 浏览