从知乎热议看:哪些研究生知识应提前到本科甚至高中? 本文从小李的角度探讨了将部分研究生阶段的知识提前到本科甚至高中阶段教授的可能性和必要性,涉及逻辑思维、编程技能、实验设计及跨学科思维等方面。 知乎热点 2025年02月05日 19:53 0 点赞 0 评论 87 浏览
Deepseek问答:植物转录因子的后续实验设计思路 本文详细介绍了如何设计植物转录因子的后续实验,包括功能确认、调控网络探索以及功能验证三个核心步骤,旨在为相关领域的研究者提供参考。 简书热点 2025年02月14日 13:16 0 点赞 0 评论 96 浏览
心理学研究方法(7):从个人视角深入探讨心理实验的奥秘 本文以个人视角深入探讨心理学研究方法中的实验设计、数据收集与分析以及伦理问题等方面的内容,结合具体案例进行详细讲解,旨在帮助读者更好地理解心理学研究的基本原理及其应用价值。 简书热点 2025年03月03日 03:51 0 点赞 0 评论 83 浏览
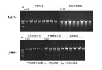
多种细菌DNA提取试剂盒性能的比较研究 作为一名微生物研究者,他深入参与了关于多种细菌DNA提取试剂盒性能的比较研究。通过精心设计的实验,他揭示了不同试剂盒在提取效率、DNA纯度及操作便捷性上的差异,并结合实际经验提出了选择建议。他的研究不仅为同行提供了重要参考,还展示了未来技术发展的潜力。 简书热点 2025年03月31日 15:32 0 点赞 0 评论 79 浏览
心理学研究方法(36):从好奇心到实验设计,揭开心理科学的神秘面纱 本文从个人视角出发,探讨了心理学研究方法中的好奇心、实验设计、记忆与认知、伦理问题以及经典实验等内容,帮助读者更深入地理解心理学的研究过程和意义。 简书热点 2024年12月01日 23:47 0 点赞 0 评论 113 浏览
AB测试知多少:从新手到专家的全面解析 AB测试是一项重要的数据分析工具,广泛应用于互联网产品优化中。本文从个人视角出发,深入探讨了AB测试的基本原理、常见误区以及如何设计成功的AB测试,结合实际案例帮助读者更好地理解和应用AB测试。 简书热点 2024年12月04日 14:03 0 点赞 0 评论 98 浏览