不容易长肿瘤的人有哪些共性? 本文从个人视角出发,详细分析了不容易长肿瘤的人所具备的共性,包括健康生活习惯、定期体检与早期筛查、积极乐观的心态以及合理补充营养物质等方面。 头条热点 2025年01月24日 18:41 0 点赞 0 评论 49 浏览
女生晒手电筒照意外发现血管瘤,网友提醒救了一命? 重庆一女生在社交平台晒出手电筒照手部血管的照片,意外被网友发现疑似血管瘤。她迅速就医确诊,事件引发广泛关注。文章讲述这一真实事件全过程,并科普血管瘤的相关知识,提醒公众关注身体健康。 百度热点 2025年05月05日 20:30 0 点赞 0 评论 29 浏览
三亚女游客疑被蛇咬身亡,现场细节曝光!专家提醒:秒拍蛇照是救命关键 2025年6月2日凌晨,一名27岁女游客在海南三亚疑似被毒蛇咬伤,经抢救无效不幸身亡。事件引发广泛关注,亲属称其脚上有两个类似针眼的小孔,专家强调“秒拍蛇照”是救命关键。文章从第一视角还原事件全过程,并提供实用户外安全建议。 头条热点 2025年06月06日 22:56 0 点赞 0 评论 29 浏览
直击帕金森真相:一场与时间的赛跑,守护大脑的最后防线! 本文深入探讨了帕金森病的病因、症状及最新研究成果,结合真实案例分析,揭示了这一疾病对人类健康的深远影响。同时,文章还详细介绍了如何通过早期干预和科学治疗延缓病情发展,为读者提供了一份全面的健康指南。 简书热点 2025年03月07日 21:42 0 点赞 0 评论 74 浏览
颖儿因胆囊剧痛紧急手术,健康警示引热议 女演员颖儿因突发胆囊剧痛接受手术治疗,引发公众对健康问题的关注。文章详细描述了事件经过、胆囊疾病的成因及预防方法,并结合近期娱乐圈其他类似案例,呼吁大众重视身体健康。 百度热点 2025年06月28日 22:06 0 点赞 0 评论 37 浏览
阿莫西林抹脸美白?别闹了,真相在这里! 他通过研究发现,网上流传的阿莫西林拖地杀菌、洗头去屑、敷脸美白等方法都是伪科学。医生明确表示,阿莫西林作为抗生素药物,主要用于治疗细菌感染,并不具备这些神奇功效。他还提醒大家,滥用阿莫西林不仅浪费药物,还可能带来严重后果,包括过敏反应和细菌耐药性的增加。 腾讯热点 2025年04月23日 12:38 0 点赞 0 评论 42 浏览
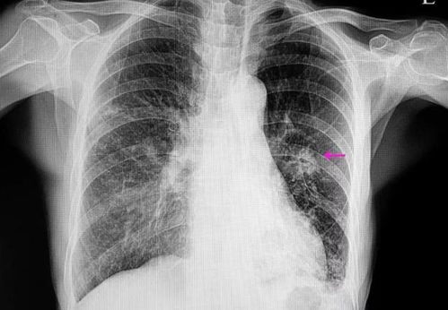
肺结节不是小事!女子查出没在意,一年后竟成肺癌晚期 一名27岁女子因查出肺结节未及时治疗,一年后确诊肺癌且已转移。文章通过真实案例揭示肺结节的危害、如何正确应对以及被忽视的健康信号。 微博热点 2025年05月24日 09:27 0 点赞 0 评论 42 浏览
原来医生也逃不过保健品:揭秘养生直播背后的真相 本文从个人视角出发,揭露了抖音平台上一些养生直播间通过虚假宣传和洗脑式营销,诱导老年人购买高价保健品的现象。文章详细分析了这些直播间的运作模式、背后的利益链条以及医生参与其中的原因,并提出了如何避免成为受害者的建议。 抖音热点 2024年12月07日 06:36 0 点赞 0 评论 72 浏览
男子腹泻一年暴瘦至67斤,真相令人震惊! 一名年轻男子因不明原因腹泻长达一年,体重骤降至67斤,引发广泛关注。本文以真实事件为基础,讲述其求医过程与健康警示。 微博热点 2025年05月16日 13:06 0 点赞 0 评论 44 浏览
被蛇咬了怎么办?普通医院真的没有抗蛇毒血清吗? 一位网友分享了自己被蛇咬伤的经历,并深入调查了普通医院为何普遍缺乏抗蛇毒血清的问题。文章详细列出了全国范围内少数几家拥有血清的医院名单,并提供了实用的蛇咬急救指南。 微博热点 2025年06月04日 17:56 0 点赞 0 评论 31 浏览